علامات تظهر في أصابعك قد تدل على سرطان الرئة!

يونيو 11, 2022 - 09:09
علامات تظهر في أصابعك قد تدل على سرطان الرئة!
علامات تظهر في أصابعك قد تدل على سرطان الرئة!

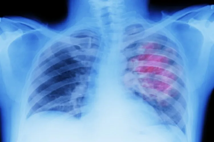
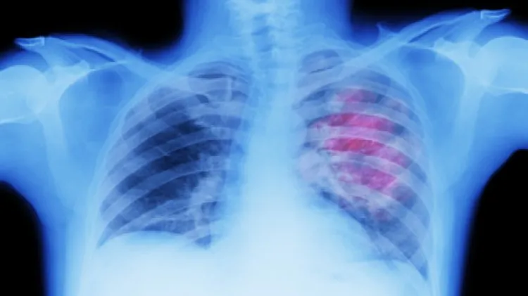
على الرغم من أن سرطان الرئة لا يظهر عادة أعراضا في المراحل المبكرة، فقد تظهر العلامات التحذيرية مع تقدم الحالة.

وعندما تفكر في سرطان الرئة، قد تتبادر إلى ذهنك أعراض مثل السعال أو ضيق التنفس. وبصرف النظر عن رئتيك وصدرك، هناك منطقة أخرى يمكن أن تشير إلى الحالة - الأصابع. وشارك مركز أبحاث السرطان في المملكة المتحدة أن إحدى العلامات التي يمكن أن تكون أحد أعراض سرطان الرئة هي تعجر الأصابع.

ويوصف تعجر الأصابع بأنه "غير عادي"، ويفصل التغييرات في شكل إصبعك وأظافرك.

ويمكن رصد هذه الأعراض الخاصة بين المرضى الذين يعانون من مشاكل في الرئة والقلب، بما في ذلك سرطان الرئة. ومن اللون الخفيف إلى المنحنى، هناك عدد قليل من العلامات الدالة على تعجر الأصابع.

وتشرح مؤسسة أبحاث السرطان في المملكة المتحدة ما الذي تبحث عنه:

• تليين قاعدة الظفر (فراش الظفر) واحمرار الجلد حول الظفر.

• الزاوية بين فراش الظفر وثنية الظفر (الجلد الموجود أسفل الجلد مباشرة) تتزايد، ما يتسبب في تقوس الظفر أكثر من المعتاد.

• يبدو الظفر والجلد المحيط به لامعا، ويظهر على طول الظفر نتوءات.

• نهايات الأصابع تبدو أكبر.

وعندما يتعلق الأمر بالموقع الدقيق، تظهر هذه العلامة عادة أعلى أصابع يديك.

ومع ذلك، يمكن أن تظهر على أصابع قدميك أيضا.

وفي حين أن الأمر قد يستغرق أحيانا سنوات لتطويره، إلا أن ظروفا معينة تؤدي إليه بسرعة كبيرة.

وإذا لاحظت تعجر الأصابع، تنصح المؤسسة الخيرية "بالتحدث إلى طبيبك".

وعلى الرغم من أن هذه العلامة هي أعراض معروفة لسرطان الرئة، إلا أنها لا تعني بالتأكيد أنك مصاب بالسرطان عند إصابتك به.

ويمكن أن يشير أيضا إلى عدد من المشكلات المختلفة، بدءا من التهاب القولون التقرحي وحتى مرض كرون.

وتشارك NHS الأعراض الأخرى لسرطان الرئة التي تستحق المعرفة وهي:

• سعال لا يزول بعد أسبوعين أو ثلاثة أسابيع.

• سعال طويل الأمد يزداد سوءا.

• التهابات الصدر التي تستمر في العودة.

• سعال الدم.

• وجع أو ألم عند التنفس أو السعال.

• ضيق التنفس المستمر.

• التعب المستمر أو نقص الطاقة.

• فقدان الشهية أو فقدان الوزن غير المبرر.

وإذا كنت تعاني من هذه الأعراض "الرئيسية" لسرطان الرئة، يجب عليك التحدث إلى طبيبك، كما تنصح الخدمة الصحية.

المصدر: إكسبريس

يلا نيوز نت صحيفة يلا نيوز الإلكترونية، صحيفة عربية، تهتم بأخبار العالم العربي السياسية والاقتصادية والثقافية وتتابع الاحداث لحظة بلحظة